Artrosi dell'articolazione del ginocchio (gonartrosi) è una malattia cronica progressiva delle articolazioni del ginocchio con danno, assottigliamento e distruzione della sua parte cartilaginea (superfici articolari del femore e della tibia), nonché danni all'osso subcondrale. È stato dimostrato da studi (artroscopia e risonanza magnetica) che oltre al danno alla cartilagine articolare, nel processo sono coinvolti i menischi e la membrana sinoviale. La gonartrosi è una delle patologie ortopediche più comuni. Ci sono i suoi sinonimi: osteoartrite (OA), artrosi deformante. La malattia rappresenta un importante problema socioeconomico, poiché è molto diffusa e peggiora significativamente la qualità della vita dei pazienti a causa del dolore costante e, inoltre, diventa causa di elevata disabilità.

Fino alla metà degli anni ottanta del secolo scorso non esisteva una definizione univoca della malattia. Fu solo nel 1995 che il comitato sull'osteoartrosi dell'American College of Rheumatology caratterizzò la malattia come il risultato di fattori meccanici e biologici che portano ad uno squilibrio tra i processi di degradazione e sintesi della matrice extracellulare della cartilagine articolare. Di conseguenza, si verificano la disintegrazione e la degenerazione delle fibre, si formano crepe, osteosclerosi e compattazione dello strato corticale dell'osso subcondrale, crescono gli osteofiti e si formano cisti subcondrali.
Perché si verifica l'artrosi dell'articolazione del ginocchio?
I fattori di rischio per l’artrosi includono:
- trauma cronico (violazione dell'attività fisica, eccesso di peso);
- malattie endocrine, infiammatorie, metaboliche e ischemiche;
- la presenza di disturbi congeniti o acquisiti dei rapporti, della forma o dell'organizzazione strutturale delle estremità articolari.
Se noti sintomi simili, consulta il tuo medico. Non automedicare: è pericoloso per la salute!
Sintomi di artrosi delle articolazioni del ginocchio
L’artrosi dell’articolazione del ginocchio è caratterizzata da:
- esordio graduale;
- lieve dolore alle articolazioni durante i movimenti, soprattutto quando si salgono e scendono le scale;
- “irrigidimento”, rigidità e “dolore iniziale” che si manifesta durante i primi passi e diminuisce o scompare se il paziente “diverge”, dopo un'attività fisica significativa riprende.
- l'aspetto del ginocchio rimane lo stesso. A volte si verifica un leggero gonfiore o accumulo di liquidi nell'articolazione. Allo stesso tempo, il ginocchio aumenta di volume, si gonfia, si appiattisce e si avvertono restrizioni nei movimenti e pesantezza.
Sensazioni dolorose
Man mano che la malattia progredisce, il dolore diventa più intenso, comparendo anche con uno sforzo minimo e una lunga camminata. Localizzato lungo la superficie antero-interna dell'articolazione. Il riposo prolungato di solito aiuta a far scomparire il dolore.
Mobilità limitata dell'articolazione del ginocchio e caratteristico crunch
Con l'artrosi, la gamma dei movimenti articolari può diminuire, può apparire uno scricchiolio e un dolore acuto appare quando la gamba è piegata al massimo.
Deformità del ginocchio
La configurazione dell'articolazione cambia, come se si espandesse.
sinovite
La sinovite dell'articolazione del ginocchio è un'infiammazione del rivestimento della cavità interna dell'articolazione. La malattia si manifesta sotto forma di gonfiore del ginocchio, arrossamento della pelle e mobilità limitata dell'articolazione. Con lo sviluppo dell'artrosi, la sinovite si verifica più spesso, dura più a lungo e coinvolge una grande quantità di liquidi.
L'ultimo stadio della gonartrosi si distingue per il fatto che il dolore diventa quasi costante, causando ansia non solo mentre si cammina, ma anche a riposo e anche di notte, quando i pazienti devono cercare una posizione comoda per dormire. Il movimento è più limitato: è difficile piegare e stendere completamente la gamba. L'articolazione si deforma e aumenta di volume. Si osserva spesso deformità in valgo (a forma di X) o in varo (a forma di O) delle gambe. L'andatura diventa instabile e ondeggia. Nei casi più gravi sono necessari un bastone o delle stampelle.

Secondo i ricercatori, il 76% degli anziani che lamentano dolore al ginocchio hanno radiografie che mostrano gonartrosi. Secondo le statistiche, le donne sono più spesso colpite dalla malattia, che è associata a cambiamenti ormonali dopo 45 anni.
Patogenesi dell'artrosi delle articolazioni del ginocchio
Esistono artrosi primarie e secondarie.
Artrosi primaria dell'articolazione del ginocchio
- La cartilagine articolare viene costantemente distrutta e rinnovata; normalmente, questi processi sono equilibrati. Con l'età, il rinnovamento della cartilagine rallenta e comincia a prevalere la distruzione, fenomeno chiamato processo di degradazione o degenerazione. Il peso di una persona gioca un ruolo importante, poiché con una massa di 70 kg in 20 passi portiamo 700 kg su ciascuna gamba (70 kg x 10 passi) e con una massa di 120 kg portiamo già 1200 kg su ciascuna gamba. Pertanto, la cartilagine debole si consuma molto più velocemente;
- è necessario ricordare: l'articolazione riceve nutrienti e si ripristina mentre si muove; Uno stile di vita sedentario riduce i processi metabolici e gli elementi necessari non raggiungono la cartilagine;
- Esistono prove controverse sul ruolo ereditario nell'insorgenza della malattia. Se i genitori avevano l'artrosi, aumenta la probabilità che si verifichi nei bambini;
- si verifica a causa dell'infiammazione sinoviale autoimmune.
Artrosi secondaria dell'articolazione del ginocchio
- lesioni (fratture, rotture del legamento meniscale e crociato anteriore). Sfortunatamente, in qualsiasi persona, indipendentemente dall’età, queste lesioni portano a uno stress eccessivo sulla cartilagine. Una frattura di qualsiasi parte delle ossa ricoperta di cartilagine è accompagnata dalla formazione di un'irregolarità - un "gradino". In quest'area, durante lo spostamento, si verifica l'abrasione e si forma l'artrosi;
- artrite reumatoide, malattia di Koenig (osteocondrite dissecante), conseguenze dell'infiammazione purulenta dell'articolazione (gonite), ecc.;
- disturbi vascolari regionali;
- Processi adesivi cronici essudativo-proliferativi e cicatriziali nell'articolazione.

Con l'artrosi (osteoartrosi), oltre alla progressiva distruzione della cartilagine, alla perdita della sua elasticità e delle proprietà ammortizzanti, le ossa vengono gradualmente coinvolte nel processo. Sotto carico compaiono bordi taglienti (esostosi), che vengono erroneamente considerati "depositi di sale" - nell'artrosi classica non si verifica alcun deposito di sale. Man mano che l’artrosi progredisce, continua a “mangiare” la cartilagine. Quindi l'osso si deforma, lì si formano delle cisti, tutte le strutture dell'articolazione vengono colpite e la gamba si piega.
Oltre alla parte interna o esterna del ginocchio, l'artrosi può interessare anche le superfici tra la rotula e il solco intercondiloideo del femore. Questa opzione è chiamata artrosi femoro-rotulea.
La sua causa è solitamente una sublussazione, frattura o lateralizzazione della rotula.

Classificazione e fasi di sviluppo dell'artrosi delle articolazioni del ginocchio
Indipendentemente dalla causa, ci sono tre fasi di gonartrosi, o artrosi deformante dell'articolazione del ginocchio.
Gonartrosi, stadio I
Il primo stadio della malattia è caratterizzato da cambiamenti primari nella cartilagine ialina. Le strutture ossee non sono interessate. L'afflusso di sangue nei vasi intraossei e nei capillari viene interrotto. La superficie della cartilagine diventa secca e perde la sua levigatezza. Se la malattia è accompagnata da una sinovite tesa costante, si sviluppa una cisti di Baker (protrusione erniaria della capsula articolare della regione poplitea). Dopo uno stress significativo sull'articolazione, si verifica un dolore sordo. Potrebbe verificarsi un leggero gonfiore che scompare dopo il riposo. Non c'è deformazione.
Gonartrosi, stadio II
Nella seconda fase, lo strato cartilagineo diventa nettamente più sottile e in alcuni punti è completamente assente. Gli osteofiti compaiono lungo i bordi delle superfici articolari. Le caratteristiche qualitative e quantitative del liquido sinoviale dell'articolazione cambiano: diventa più denso, più viscoso, il che porta ad un deterioramento delle sue proprietà nutrizionali e lubrificanti. Il dolore è più prolungato e intenso e spesso si sente uno scricchiolio durante il movimento. È presente una limitazione lieve o moderata del movimento e una leggera deformazione dell'articolazione. L'assunzione di analgesici aiuta ad alleviare il dolore.
Gonartrosi, stadio III
Mancanza di cartilagine nella maggior parte delle aree colpite, grave sclerosi (indurimento) dell'osso, molti osteofiti e un forte restringimento o assenza dello spazio articolare. Il dolore è quasi costante, l'andatura è compromessa. La mobilità è fortemente limitata e la deformazione articolare è evidente. I FANS, la fisioterapia e altri metodi standard per il trattamento dell'artrosi del ginocchio sono inefficaci.
Tipi di gonartrosi
A seconda del numero di articolazioni colpite si distingue la gonartrosi unilaterale e bilaterale.
Complicanze dell'artrosi delle articolazioni del ginocchio
La complicanza più comune degli stadi II e III è la tendovaginite del gruppo muscolare adduttore della coscia. Ciò si manifesta con dolore lungo la superficie interna dell'articolazione, che si intensifica con il movimento. La causa è lo squilibrio e la deformazione muscolare. Con una diminuzione a lungo termine del range di movimento, si sviluppa la contrattura. Inoltre, spesso si verifica la sinovite.
Conseguenze della gonartrosi avanzata
La gonartrosi colpisce l'intero sistema muscolo-scheletrico, interrompendo la biomeccanica della colonna vertebrale e di altre grandi articolazioni degli arti inferiori. Ciò può portare all’ernia del disco e all’artrite di altre articolazioni. La seconda articolazione del ginocchio è sovraccarica (se la malattia è unilaterale), poiché il paziente risparmia la gamba dolorante, trasferendo il peso sull'altra sana.
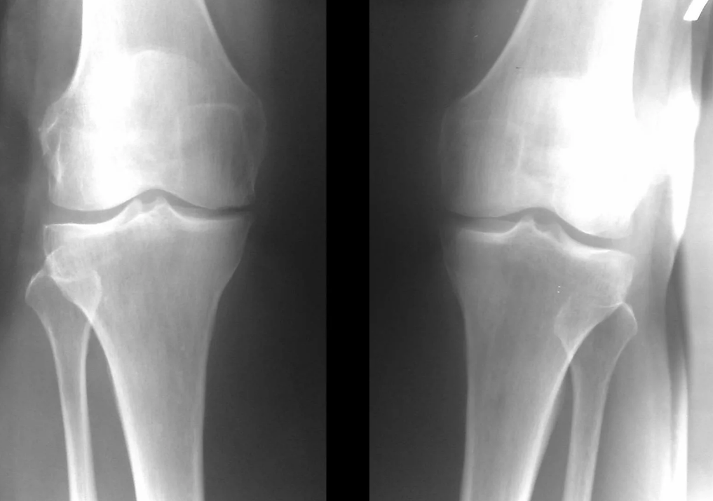
Diagnosi di artrosi delle articolazioni del ginocchio
Diagnosi strumentale dell'artrosi dell'articolazione del ginocchio
Nella stragrande maggioranza dei casi sono sufficienti un esame e una radiografia dell'articolazione del ginocchio in due proiezioni (diretta e laterale). I dati clinici e le immagini aiutano a determinare lo stadio della malattia.

Nelle fasi iniziali della malattia, con lievi cambiamenti nel tessuto osseo, l'esame radiografico non è così prezioso. In questa fase la gonartrosi può essere diagnosticata mediante artroscopia. La precisione del metodo è molto elevata; solo la sua natura invasiva e il suo prezzo possono fermarlo.
Gli ultrasuoni non consentono una chiara visualizzazione dei cambiamenti nella cartilagine articolare e nelle strutture intrarticolari. Utilizzando la risonanza magnetica, è possibile rilevare cambiamenti nelle strutture ossee, cartilaginee e dei tessuti molli dell'articolazione, nonché nell'osso subcondrale, con una precisione dell'85%. La scintigrafia può essere utilizzata per valutare l'attività metabolica del tessuto osseo periarticolare.
Diagnosi di laboratorio dell'artrosi dell'articolazione del ginocchio
Un aumento del contenuto di fosforo e calcio nel liquido sinoviale disidratato è la prova della distruzione del tessuto osteocondrale dell'articolazione e dell'accumulo di prodotti di degradazione. Viene anche esaminato il sangue: analisi generale e velocità di sedimentazione eritrocitaria (VES); determinare il livello di fibrinogeno, urea e altri parametri biochimici del sangue e delle urine.
È possibile curare completamente l'artrosi deformante dell'articolazione del ginocchio?
La gonartrosi può essere completamente curata solo nella fase iniziale della malattia.
Quale medico cura l'artrosi deformante dell'articolazione del ginocchio?
Un traumatologo-ortopedico o reumatologo fa una diagnosi e prescrive un trattamento.
Trattamento dell'artrosi delle articolazioni del ginocchio
Conservatore — farmaci antinfiammatori, antidolorifici, miorilassanti, vascolari, condroprotettori, impacchi, kinesiotaping, fisioterapia, fisioterapia, ortesi.
Minimamente invasivo- blocchi paraarticolari (Novocaina + farmaci alleviano il dolore e l'infiammazione), iniezione di lubrificante artificiale nell'articolazione stessa, lifting del plasma.
Chirurgico — artroscopia (un metodo poco traumatico per il trattamento delle patologie intrarticolari e la rimozione delle strutture danneggiate), endoprotesi.
Trattamento farmacologico (farmaci per il trattamento dell'artrosi dell'articolazione del ginocchio)
I metodi conservativi sono più efficaci nella fase iniziale della malattia. Aiutano a ridurre il dolore e a rallentare temporaneamente la distruzione della cartilagine. Nella fase II sono necessari metodi più efficaci. L'introduzione di preparati di acido ialuronico nella cavità articolare viene utilizzata per ridurre l'attrito e il trauma alla cartilagine. Non ci sono prove chiare per il ripristino della cartilagine, ma è utile per lubrificare le superfici. La “terapia PRP” (plasmolifting) è l’iniezione di plasma ricco di piastrine nell’articolazione del ginocchio, ottenuto dal sangue del paziente mediante centrifugazione. Nutre la cartilagine e ne favorisce il ripristino, poiché le piastrine dell'autoplasma contengono numerosi fattori di crescita e citochine che favoriscono la rigenerazione dei tessuti danneggiati.
Trattamento chirurgico ed endoprotesi
La sostituzione dell'endoprotesi è un metodo chirurgico comune ed efficace per il trattamento della gonartrosi grave, che consente di mantenere la mobilità degli arti e la capacità di condurre successivamente una vita piena. Si tratta di un'operazione ad alta tecnologia della durata di circa un'ora e mezza. Nel periodo postoperatorio sono necessari la riabilitazione e lo sviluppo dell'articolazione a lungo termine. Dopo 25-30 anni, quando l'articolazione artificiale si usura, è necessario sostituirla nuovamente.

Fisioterapia e kinesiterapia
I metodi di fisioterapia e kinesiterapia per il trattamento dell'artrosi dell'articolazione del ginocchio sono inefficaci.
Terapia dietetica
La dieta è necessaria solo per mantenere un peso normale; non ci sono restrizioni sul consumo di alcuni alimenti per la gonartrosi.
Il blocco aiuta con la gonartrosi?
Per l'artrosi dell'articolazione del ginocchio, viene utilizzato un blocco paraarticolare: un'iniezione del farmaco nei tessuti molli attorno all'articolazione. Durante la procedura, vengono determinate l'area di infiammazione e i punti doloranti vicino all'articolazione, la pelle viene trattata con alcol e in quest'area viene iniettato idrocortisone con un anestetico.
Esercizi terapeutici per l'artrosi
Gli esercizi terapeutici sono utili sia per i pazienti affetti da gonartrosi che per la prevenzione di questa malattia. Esercizi efficaci:
- flessione ed estensione completa della gamba, sdraiato sulla schiena;
- Alzare la gamba tesa stando sdraiati sulla schiena.
Previsione. Prevenzione
Devi capire che se l'artrosi inizia a svilupparsi, deve essere trattata immediatamente. Se si è a rischio di questa malattia è possibile ritardarne la comparsa, per questo si consiglia:
- ridurre lo stress sull'articolazione del ginocchio;
- nuotare: l'acqua allevia lo stress;
- massaggia tu stesso i muscoli della parte inferiore della gamba e della coscia;
- evitare l'ipotermia e il superlavoro;
- mantenere il peso normale;
- smettere di fumare e alcol;
- le donne indossano scarpe comode con il tacco basso;
- fare terapia fisica
Prima di iniziare gli esercizi terapeutici, dovresti assolutamente consultare il tuo medico. Gli esercizi vengono eseguiti a un ritmo lento. Se si avverte dolore o disagio durante la ginnastica, gli esercizi devono essere interrotti.
È necessario usare solo farmaci efficaci. Sfregamenti, impacchi e altri metodi popolari sono inefficaci; non agiscono sulla causa della malattia, ma aiutano solo a distrarre dal dolore. Evitare infortuni e sovraccarichi: saltare, trasportare oggetti pesanti, stare in piedi a lungo o sedersi in una posizione scomoda. Ciò accelera la progressione della malattia.
È inoltre necessario diagnosticare e curare tempestivamente l'artrite reumatoide, la gotta e le malattie sistemiche.
Quali fattori influenzano la prognosi a lungo termine dell’artrosi del ginocchio?
La prognosi dipende dallo stadio in cui il paziente si è rivolto al medico e dalla terapia corretta. Quanto prima si inizia un trattamento adeguato, maggiori sono le possibilità di evitare un intervento chirurgico.






















